News

12.01.2021 · Checkpoint Inhibition Can Aggravate EBV-associated Lymphoproliferative Disease

Open

EBV-associated lymphoproliferative disease involving brain in a humanized mouse model treated with a checkpoint inhibitor. Image by F. Feuerhake

More mechanistic insights in EBV-related lymphoproliferative disease by spatial immunophenotyping, distance metrics and complex multiplexed immunohistochemistry. The joint publication with the Renata Stripecke Lab helped to clarify underlying mechanisms of lymphoma brain involvement.

 

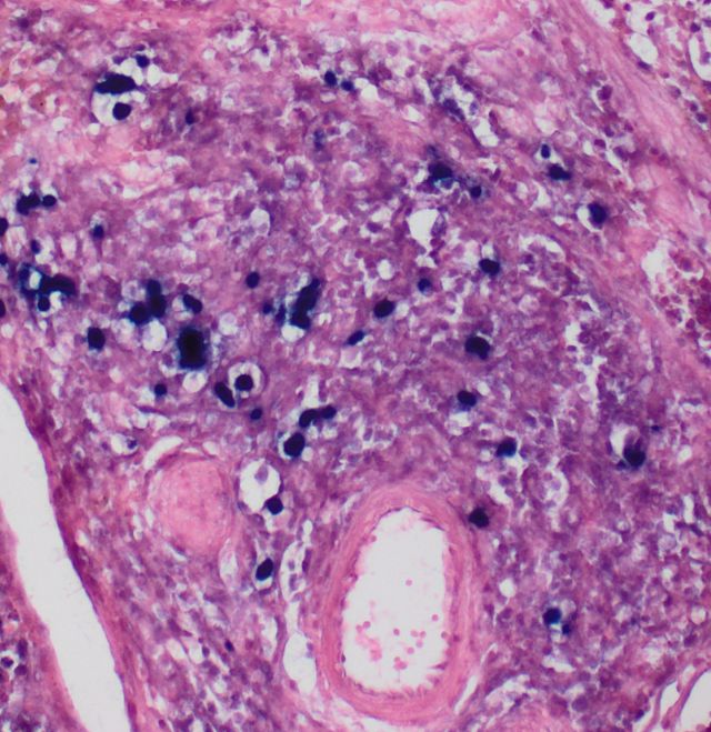
15.03.2019 · SYSIMIT Supports Preclinical Research in Humanized Mouse Model

Open

EBV-positive lymphoma labeled by with dark blue cell nuclei in the spleen of a humanized mouse (EBER in-situ hybridization). Image by F. Feuerhake.

The SYSIMIT Systems Immunology approach to spatially resolved immun cell phenotyping provided novel insights into the response of the immune system to EBV infection and transformation of B-cells to malignant EBV-associated lymphoma.  

 

28.12.2018 · Learn and Participate: Crowdsourcing project published

Open

Crowdsourcing can support Systems Medicine research, help to design novel learning platforms...and be fun. Image by F. Feuerhake.

A big THANK YOU to all students who participated in our crowdsourcing experiment! We look forward to further developing the concept with you - We invite you to work with us combining computational pathology with novel approaches to teach/learn pathology.

 

04.12.2018 · SYSIMIT Final Meeting

Open

Final Meeting at the TWINCORE building, Hannover, Germany. Image: R. Schönmeyer

At the final meeting in Hannover, the SISMIT scientists summarized results, reported on the ongoing work on publications, and put the achievements in the context of the emerging technologies, such as AI - supported decision support and disease modeling in Medicine. Representatives from ongoing projects such as the MicMode-I2T networking project and the ERACoSysMed project SysMIFTA were included by video conference. 

 

26.09.2018 · e:Med Meeting Berlin

Open

On stage at URANIA, Berlin: SYSIMIT scientist Juan Carlos introduces his poster in a flash talk. Image by F. Feuerhake.

We contributed to the Meeting with the talk by SYSIMIT scientist Arno Schäpe (Definiens) on Tissue Phenomics, and poster presentations of Katarina Nekolla (Definiens), Nadine Schaadt (MHH), Sahamoddin Khailaie (HZI), and Juan Carlos Lopez Alfonso (HZI), who gave a flash talk on his modeling approach to reflect immune cell-tumor interactions.

 

24.09.2018 · Learn and Participate: Citizen Science and AI in Systems Medicine

Open

Citizen science workshop at URANIA Berlin: Collective knowledge for Systems Medicine! Image by F. Feuerhake.

Crowdsourcing can be much more than gathering "collective knowledge". Contributing to Systems Medicine crowdsourcing projects is a way to participate in ongoing scientific projects, to be exposed to translational applications of AI in medicine, and it can also support learning - provided optimal combinations of task complexity, training methods and selection of contributors who have an intrinsic motivation and interest.

 

16.09.2018 · MICCAI 2018 Granada: Best Poster Award at COMPAY 2018

Open

Congratulations! Nadine wins Best Paper Award at the Computational Pathology Symposium COMPAY at MICCAI 2018 in Granada, Spain! Image by F. Feuerhake.

Appropriate training and the adequate complexity of the tasks are critical factors for success of crowdsourcing. The SYSIMIT team joined forces with the teams of the European ERACoSysMed project "SysMIFTA" and scientists of the BMBF-funded "ILUMINATE" project, and developed tools and strategies to enable crowdsourcing of complex tasks. 

Nadine's work was published in Computational Pathology and Ophthalmic Medical Image Analysis (Springer 2018): "Role of Training and Task Complexity in Crowdsourced Image Annotation".

 

31.01.2018 · Tissue Phenomics - SYSIMIT scientists contribute to book on image-based profiling of cancer patients

Katharina Nekolla, Ralf Schönmeyer, Arno Schäpe, Nicolas Brieu and many other scientists who where involved in SYSIMIT projects contributed to "Tissue Phenomics", a book edited by Nobel-prize winner and founder Gerd Binnig, Definiens CMO Ralf Huss and Head of Research Günter Schmidt.

 

21.11.2017 · E:Med Meeting Goettingen

SYSIMIT scientists presented their three accepted abstracts as posters and talks, attended inspiring scientific sessions and networked in the e:Med community. Additional highlights included the Carreers in Systems Medicine talk by Senior Principal Scientist Dr. Antje Walz, Head of Translational Modeling and Simulation at Roche Basel, and listening to Systems Biology pioneer Prof. Uri Alon from the Weizmann Institute of Science, Rehovot playing guitar and singing the "scooped again" blues. 

 

01.08.2017 · Image Annotation: Addressing the Bottleneck for Machine Learning Approaches in Image Analysis

Open

Annotation Workshop at Definiens 1./2. August 2017. Images by R. Schömeyer.

SYSIMIT joins forces in an Image Annotation Workshop at Definines, Munich. Collective human intelligence to leverage AI in image analysis!

 

09.05.2017 · Consortium Meeting Hannover

Open

The SYSIMIT team meets at the Twincore Building close to the Hannover Medical School Campus. Image by R. Schönmeyer.

SYSIMT consortium meeting on progress and future plans. Searching for commonalities and synergies in modeling approaches and image analysis for cancer and transplantation immunology. 

 

28.10.2016 · SYSIMIT@EASym: Juan Carlos L. Alfonso wins poster prize at the first Conference of the European Association of Systems Medicine

Open

The poster prize ceremony. Juan Carlos A. Lopez (left) and Charles Auffray (right). Image by Maria Dost.

Juan Carlos A. Lopez connects dynamic mathematical models of inflammatory processes with the advanced automated analysis of microscopic images and wins the poster prize at the first Conference of the European Association of Systems Medicine in Berlin.

 

10.10.2016 · SYSIMIT 2.0: Enthusiastic start into the second funding period

The focus of the SYSIMIT scientists shifts from innovative image analysis workflows and proof of feasibility to implement biopsy-based "Big Data" into Systems Medicine towards applications in the reality of clinical studies.

 

06.10.2016 · Poster prize and flash talk presentations : SYSIMIT scientists present project progress in Kiel, Germany

Open

Harbor tug ships entering Kiel harbor in the early morning light. Picture credits/copyright: G. Schmidt, Definiens AG.

At the 2016 e:Med Meeting in Kiel, Germany, SYSIMIT scientist Juan Carlos Lopez Alfonso (HZI & BRICS, Braunschweig, Germany) was among the three e:Med scientists who received the prize for the best posters. SYSIMIT scientists Carolina Vanegas (Definiens, München, Germany) and Nadine Schaadt (MHH, Hannover, Germany) presented their work in the e:Med "Flash Talk" sessions, followed by intense scientific discussions at the poster exhibition.    

 

23.09.2016 · Lobulitis "in-silico" : The first mathematical model on inflammatory patterns in normal breast tissue published

Open

Microscopic spatial data informing the framework for the mathematical model. Image by J.C. Alfonso, published in Sci Rep 2016 (for full reference see link), © 2016 Macmillan Publishers Limited, part of Springer Nature. All rights reserved.

SYSIMIT aims at integrating mathematical models of inflammatory processes with microscopically observed immune cell patterns in biopsies and tissue samples. Please check out "Alfonso et al.: In-silico insights on the prognostic potential of immune cell infiltration patterns in the breast lobular epithelium", Sci Rep. 2016 to learn more about how SYSIMIT implements systems medicine approaches into innovative diagnostic procedures. 

 

30.06.2016 · Tissue Phenomics approach to Melanoma patient stratification presented at 6th European Post-Chicago Melanoma/Skin Cancer Meeting in Munich

Scientists form the SYSIMIT workpackage 2 contributed to important results on melanoma oncoimmunology diagnostics at the 6th European Post-Chicago Melanoma/Skin Cancer Meeting. Check out the conference web site for more information on "Optimal Patient Selection for Immunotherapy in Melanoma using Tissue Phenomics" by N. Harder, R. Schönmeyer, G. Schmidt, N. Brieu, M. Yigitsoy, G. Madonna, G. Botti, P. Ascierto, G. Binnig.

 

27.06.2016 · SYSIMIT approach for biomarker discovery presented in webinar

Immuno-oncology and transplantation medicine share the medical need for robust, immune cell-based biomarkers extracted from tissue biopsies. In an interdisciplinary approach, the Tissue Phenomics methodology is applied to mine clinically annotated image data. The webinar provides some insight on how SYSIMIT provides proof-of-concept that spatial distribution of immune cells can provide valuable hints towards novel transplantation biomarkers. Correlating spatial immune cell patterns in protocol biopsies with the yearly loss of Glomerular Filtration Rate (GFR), new features, previously not considered to be of prognostic value, can be discovered. The potential of Tissue Phenomics technology to exploit the full predictive power of image-based information is currently investigated in the disease-overarching SYSIMIT consortium.

 

19.05.2016 · Immune cell imaging: Macrophage evaluation in prostate cancer presented at annual DGP Meeting in Berlin, Germany

Visualization of immune infiltrates matters in different diseases: See what SYSIMIT partner Definiens contributed to the annual meeting of the German Society of Pathology in Berlin in May 2016 here: "Tumor-associated macrophages in prostate cancer and their potential role in tumor progression" by H. Hessel, M. Athelogou, A. Buchner, N. Harder, N. Brieu, M. Yigitsoy, R. Schönmeyer, G. Schmidt, G. Binnig, C. Stief, T. Kirchner, in: 100. Jahrestagung der Deutschen Gesellschaft für Pathologie / Der Pathologe Suppl 1, S105.

 

11.05.2016 · Enabling the computer to find informative parts of the image: Publication on automated region-of-interest detection in the SYSIMIT project now online

Open

Graphical display of the combination of three different methods for automated ROI detection (lobular areas and ducts in normal breast epithelium). For interpretation of the color code and the different panels please see the web version of this paper. Copyright © 2016 Elsevier B.V. or its licensors or contributors. All rights reserved.

One bottleneck in automated whole slide image (WSI) evaluation is the automated detection of regions of interest (ROI), comparable to a pathologist visually selecting informative fields of view. Fast detection of regions at low resolution needs to be combined with subsequent in-depth analysis at cellular level at high resolution within ROIs. SYSIMIT researchers from Hannover, Strasbourg, Munich, Braunschweig and Dresden joined forces to provide a solution, for a specific task: The detection of lobules in normal breast tissue. The publication provides proof-of-concept for the approach, compares three independent methodological solutions, and discusses the individual advantages of each method. For more information see: Detection of lobular structures in normal breast tissue by Apou G, Schaadt NS, Naegel B, Forestier G, Schönmeyer R, Feuerhake F, Wemmert C and Grote A in: Computers in Biology and Medicine (2016) Vol. 74, pp. 91-102.

 

13.04.2016 · SYSIMIT scientists contribute to novel approach to prostate cancer diagnostics, presented at IEEE/ISBI, Prague, 2016

Innovative image analysis approaches with contribution of SYSIMIT scientists were presented at IEEE/ISBI. To learn more, visit the conference web site and find : Co-occurrence features characterizing gland distribution patterns as new prognostic markers in prostate cancer whole-slide images by N. Harder, M. Athelogou, H. Hessel, A. Buchner, R. Schönmeyer, G. Schmidt, C. G. Stief, T. Kirchner, G. Binnig (2016) IEEE 13th International Symposium on Biomedical Imaging (ISBI), pages 807-810 (doi=10.1109/ISBI.2016.7493389)

 

06.04.2016 · SYSIMIT @ SBMC : Systems Medicine meets Systems Biology

SYSIMIT scientists discuss their preliminary results at the 6th Conference of Systems Biology of Mammalian Cells in Munich. To learn more, see: Model-based predictions of inflammatory patterns in the breast lobular epithelium in relation to epithelial cell turnover by J.C. Lopez Alfonso, N. Schaadt, C. Wemmert, R. Schönmeyer, N. Brieu, G. Forestier, F. Feuerhake, H. Hatzikirou (2016) 6th Conference on Systems Biology of Mammalian Cells (SBMC).

 

23.03.2016 · How SYSIMIT will contribute to oncoimmunology biomarker discovery: Preliminary results discussed at ITOC - 3, Munich, Germany

From immune cell patterns to novel predictive image features: Preliminary results suggest that the "Tissue Phenomics" approach can be adopted for the "Discovery of novel biomarkers based on spatial immune cell patterns: A disease-overarching image mining approach bridging biopsy evaluation in oncoimmunology and transplantation medicine" by R. Schönmeyer, N.S. Schaadt, A. Schäpe, V. Matvienko, W. Gwinner, J.H. Bräsen, S. Althammer, M. Yigitsoy, N. Brieu, G. Schmidt, G. Binnig, F. Feuerhake (2016), presented at the 3rd Immunotherapy of Cancer Conference. in: European Journal of Cancer 55 S1:28.

 

19.02.2016 · Workshop on Image Analysis (Hannover)

Pioneering the use of Convolutional Neuronal Networks (CNN) in Histopathology: Consortium members meet in Hannover to discuss recent progress in image analysis, focusing on the upcoming publication (Apou G et al., 2016) that compares performance of CNN-based and feature-based detection of anatomical regions of interest (ROIs), specifically areas of breast gland tissue ("lobules") in normal human tissue adjacent to breast cancer.  

 

15.09.2015 · Publication on synthetic whole slide images presented at ISPA 2015

G. Apou (ICube Laboratory Strasbourg) presented an innovative approach to facilitate image annotation, which is an important step and often the bottleneck to translate expert knowledge into knowledge-based image analysis algorithms.

G. Apou, F. Feuerhake, G. Forestier, B. Naegel, and C. Wemmert: Synthesizing Whole Slide Images

9th International Symposium on Image and Signal Processing and Analysis
(IEEE / ISPA 2015), Zagreb, Croatia, Sept 7-9. 2015

 

10.08.2015 · SYSIMIT project featured in "systembiologie.de"

Lymphatic tissue where it doesn't belong: The international edition of the "systembiologie.de" magazine for systems biology research in Germany features an article on mathematical models for the development of tertiary lymphoid structures (Issue 09, July 2015).
Please find more information here: https://www.systembiologie.de.

 

12.07.2015 · e:Med Meeting 2015 on Systems Medicine

The next e:Med full meeting is scheduled for October 26 – 28, 2015 at the German Cancer Research Center in  Heidelberg, Germany. Please find more information on this event at http://www.sys-med.de/de/meeting/emed-meeting-2015/invitation/.

 

24.06.2015 · e:Med goes online

The e:Med initiative has launched its web site. Please find more information about the initiative to establish Systems Medicine in Germany at www.sys-med.de/en/.